血管网状细胞瘤
血管网状细胞瘤
创建同名条目
条目
编辑
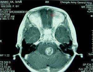
血管网状细胞瘤是一种脑血管性肿瘤。后颅窝是最主要的病变部位。血管网状细胞瘤好发于30~40岁的成年人,男性稍多于女性。如果一个或多个中枢神经系统血管网状细胞瘤, 伴发
视网膜血管瘤
和内脏病变(通常为胰和/或肾脏肿瘤或囊肿),则称为希-林氏病(VHL)。枕部疼痛、头晕、呕吐和运动失调是常见表现。如伴有视网膜血管瘤,可因出血导致视力下降。血管网状细胞瘤的主要治疗手段是手术治疗。手术全切除预后良好。肿瘤残余易局部复发。
就诊科室
神经外科
病因
VHL与遗传学异常有关。其余病变病因不详。